
Transformamos sonrisas, cambiamos vidas
Expertos en ortodoncia y estética dental con más de 6 años de experiencia
Antes & Después
Resultados reales de nuestros pacientes. Cada sonrisa cuenta una historia de transformación.


Ortodoncia
Duración: 10 meses


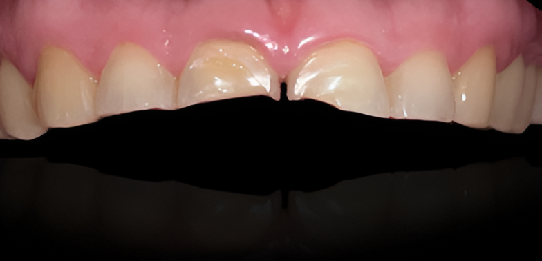
Carillas Dentales
Duración: 2 semanas


Blanqueamiento Dental
Duración: 2 sesiones


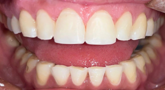
Reconstrucion Dental
Duración: 3 semanas


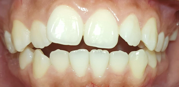
Ortodoncia
Duración: 8 meses
Nuestros Servicios
Ofrecemos una amplia gama de tratamientos dentales con tecnología de vanguardia
- Brackets metálicos
- Blanqueamiento profesional
- Carillas y resinas
- Diseño de sonrisa
- Implantes unitarios
- Prótesis sobre implantes
- Carga inmediata
- Limpieza profunda
- Tratamiento de encías inflamadas o sangrantes
- Control y mantenimiento periodontal
- Eliminación de infección
- Limpieza y desinfección del conducto
- Sellado del diente para evitar reinfecciones
- Coronas de alta estética
- Puentes fijos
- Rehabilitación completa superior e inferior
- Raspado y alisado radicular
- Eliminación de placa y sarro
- Reducción de inflamación y sangrado
- Extracción de muelas del juicio simples
- Extracción de terceros molares retenidos
- Manejo del dolor y recuperación guiada
- Radiografía
- Diagnóstico preciso de caries y raíces
- Carillas de porcelana
- Carillas de resina compuesta
- Diseño digital de sonrisa
- Blanqueamiento en consultorio
- Gel profesional de alta eficacia
Casos de Éxito
Más que tratamientos, transformamos vidas

María González
Ortodoncia
Después de 10 meses con ortodoncia, mi sonrisa cambió completamente. El proceso fue cómodo y los resultados superaron mis expectativas.



Carlos Ramírez
Implantes Dentales
Recuperé mi confianza gracias a los implantes dentales. Ahora puedo sonreír sin preocupaciones y comer todo lo que quiero.



Ana Martínez
Diseño de Sonrisa
El diseño de sonrisa transformó no solo mis dientes, sino mi vida entera. Me siento más segura y feliz cada día.


Nuestro Equipo Profesional
Especialistas comprometidos con tu salud y bienestar dental

Dr. Reibert Alex González Carballo
Ortodoncia
"Cada sonrisa merece un cuidado experto y personalizado"

Dra. Delia Medina Rocha
Cirugía Bucal e Implantología
"Transformamos sonrisas con precisión quirúrgica y estética"

Dra. Dhaily Milena Pizarro Rocha
Ortodoncia, Ortopedia y Estetica
"Alineamos sonrisas para lograr estética y función perfecta"

Maria Fidelia Ayo Ribera
Asistente Clínico
"Trabajando con precisión, aseguramos un entorno clínico seguro y eficiente."

Sherlin Negrete Flores
Recepcionista
"Su primera sonrisa en GlobalDent, garantizando una bienvenida cálida y organizada."

Javier Roberto Rodríguez Rueda
Administrador General
"Garantizamos el funcionamiento óptimo para un servicio de calidad."
Sobre Nosotros
En GlobalDent, creemos que una sonrisa puede cambiar vidas. Desde nuestra fundación en 2019 nos hemos consolidado como una clínica dental moderna, accesible y comprometida con brindar una experiencia integral a nuestros pacientes. Nuestro enfoque va más allá de la odontología tradicional: trabajamos cada día para crear un espacio donde las personas se sientan escuchadas, bien atendidas y acompañadas durante todo su tratamiento. Estamos ubicados en Santa Cruz de la Sierra, en la Av. Irala, una zona de fácil acceso donde cientos de pacientes ya han transformado su sonrisa con nosotros. Nos especializamos principalmente en ortodoncia, pero ofrecemos todos los servicios odontológicos bajo un mismo techo, con profesionales altamente calificados y tecnología de vanguardia. Lo que nos diferencia no es solo nuestro equipo ni nuestras herramientas, sino la forma en que nos conectamos con cada paciente. Sabemos que cada sonrisa es única, por eso ofrecemos atención personalizada, explicaciones claras, y un acompañamiento real antes, durante y después del tratamiento.
Misión
Brindamos atención odontológica integral que combine tecnología, profesionalismo y calidez humana, enfocándonos en mejorar la salud bucal y la autoestima de nuestros pacientes. Nuestro compromiso es hacer que cada persona que nos visita se sienta segura, bien informada y motivada a completar su tratamiento.
Visión
Convertirnos en la clínica dental más confiable, cercana y recomendada de Santa Cruz, reconocida por ofrecer tratamientos de alta calidad a precios accesibles, con una atención humana, moderna y centrada en las necesidades reales de las personas.
¿Por qué elegirnos?
Lo que dicen nuestros pacientes
Miles de sonrisas transformadas y pacientes satisfechos

Freddy S Middagh
"Excelente lugar. Muy profesional el Dr. Y todo su personal"

santiago vargas
"Muy buena atención y experiencia, totalmente recomendado"

Ines Férnandez Aramayo
"Excelente atención y profesionalismo."

Daniela Cossio
"Gran Trabajo! Gracias!"
Promoción Exclusiva
Aprovecha nuestra promoción activa para iniciar tu tratamiento de ortodoncia con todo lo necesario.
Pack Ortodoncia
Todo incluido para iniciar
Por tiempo limitado
¿Qué incluye esta promoción?
- Radiografía Panorámica
- Escáner Intraoral
- Fotos Intraorales
- Instalación Superior de los Brackets
Sin Cobros Ocultos
Transparencia total en tu presupuesto desde el primer día.
Precios Accesibles
Tratamientos de alta calidad a precios justos para todos.
Atención Personalizada
Te explicamos cada paso y te tratamos con respeto y calidez.
Ubicación & Contacto
Av. Irala #455, entre calles Colon y Vallegrande – Santa Cruz de la Sierra, Bolivia. Estamos en una zona céntrica, segura y de fácil acceso.
Agenda tu Cita
Completa el formulario y te contactaremos